Hickory Commerce Group
The Importance of Regular Dental Cleanings for Oral Health
Maintaining optimal oral health requires consistent care, and regular dental cleanings are a cornerstone of this effort. These appointments help prevent dental issues and ensure a bright, healthy smile. Visiting a dentist Hickory for routine cleanings can address concerns early and promote long-term wellness. This article explores the benefits of regular dental cleanings and their role in overall health.

• Plaque and Tartar Removal
Even with diligent brushing and flossing, plaque and tartar can accumulate in hard- to-reach areas. Professional cleanings remove these deposits, reducing the risk of cavities and gum disease.
• Early Detection of Issues
During cleanings, dentists examine teeth and gums for signs of decay, cracks, or periodontal problems. Early detection allows for timely treatments, preventing more complex procedures.
• Gum Health Maintenance
Cleanings include scaling to remove tartar from gumlines, helping prevent gingivitis and advanced gum disease. Healthy gums are essential for stable teeth and overall health.
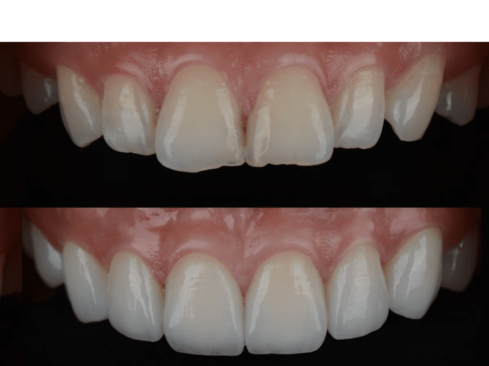
• Stain Removal for Aesthetics
Cleanings polish teeth, removing surface stains from coffee, tea, or tobacco. This enhances smile appearance, complementing services like teeth whitening for a radiant look.
• Personalized Oral Hygiene Advice
Dentists provide tailored tips on brushing techniques, flossing, and diet to support oral health. This guidance empowers patients to maintain their smiles between visits.
Regular dental cleanings are more than just a cosmetic routine; they safeguard against serious health issues. Poor oral health has been linked to conditions like heart disease and diabetes, making cleanings a vital preventive measure. By scheduling appointments with a dentist Hickory, patients invest in their smiles and overall well-being. Consistent care ensures minor issues are addressed before they escalate, preserving oral health for years to come.
Member Spotlight
Valley Hills Dentistry
1624 Tate Blvd SE
Hickory, NC 28602
(828) 267-6800
https://www.valleyhillsdentistry.com/
Get Map Direction: -
https://maps.app.goo.gl/KyFgC4fJ577U4jUM9
At Valley Hills Dentistry, our dentist Hickory provides exceptional dental cleanings to keep your smile healthy and vibrant. Led by Dr. Wesley Shaw, our team uses advanced techniques to remove plaque, polish teeth, and promote gum health. We offer personalized care in a welcoming environment, ensuring every visit supports your oral wellness. Trust us to deliver professional cleanings and guidance for a confident, lasting smile.
ABOUT US
Valley Hills Dentistry, located in Hickory, North Carolina, is dedicated to providing exceptional dental care in Hickory NC in a modern, patient-focused environment. Led by Dr. Wesley Shaw, our team offers comprehensive services, including preventive cleanings, cosmetic treatments like teeth whitening and veneers, and restorative solutions such as crowns and dental implants. Our dentist Hickory practice serves patients of all ages, utilizing state-of- the-art technology to ensure precision and comfort. From emergency dental care to clear aligners and periodontal care, we tailor treatments to enhance oral health and confidence. Proudly serving the Hickory community, we create a welcoming atmosphere for personalized dentistry that meets your unique needs. Visit us to experience compassionate care designed to keep your smile healthy and vibrant. For more information visit us https://www.valleyhillsdentistry.com/
The Role of Advanced Dental Technology in Oral Care
Leveraging Technology for Better Diagnostics
Modern dentistry relies on advanced tools to improve diagnostics and treatment outcomes. Technologies like digital X-rays and intraoral cameras allow dentist Hickory professionals to detect issues like cavities or gum disease early. These tools enhance precision, ensuring effective treatment plans tailored to patient needs.

Precision in Restorative Treatments
Restorative procedures like crowns, bridges, and dental implants benefit from cutting-edge technology. Computer-aided design ensures crowns fit perfectly, while implants are placed with accuracy for lasting results. Many dental office Hickory locations use these advancements to deliver durable, natural-looking restorations.
Cosmetic Enhancements with Modern Tools
Cosmetic treatments like veneers and teeth whitening are enhanced by technology. Digital smile design helps patients visualize results before treatment begins. Dental care in Hickory NC incorporates these tools to provide customized, aesthetically pleasing outcomes that boost confidence.
Improving Preventive Care
Preventive measures, such as cleanings and sealants, are more effective with modern equipment. Ultrasonic scalers remove plaque efficiently, while sealants are applied with precision to protect teeth. A dentist Hickory NC uses these methods to promote long-term oral health and prevent complex issues.
Streamlining Emergency Dental Care
In emergencies, technology aids in quick diagnosis and treatment. Tools like 3D imaging help address urgent needs like root canals or tooth extractions. Accessing a dental office Hickory ensures patients receive prompt, technologically advanced care to alleviate pain and restore function.
The Importance of Crowns and Bridges for Dental Restoration
-
What Are Crowns and Bridges?
Crowns and bridges are restorative solutions for damaged or missing teeth, helping patients regain function and aesthetics. A dentist Hickory crafts crowns to cover weakened teeth, protecting them from further damage, while bridges replace missing teeth by anchoring to adjacent ones. These treatments, available at a dental office Hickory, restore smiles for residents of Hickory, North Carolina, enhancing both confidence and oral health.
-
Benefits of Crowns
Crowns strengthen teeth compromised by decay, cracks, or large fillings. A dentist Hickory NC customizes crowns to match the natural color and shape of your teeth, ensuring a seamless appearance. They protect teeth from further deterioration, allowing patients to chew comfortably. Regular cleanings at a dental care in Hickory NC facility help maintain crowns, extending their durability for years. -
Advantages of Bridges
Bridges fill gaps left by missing teeth, preventing neighboring teeth from shifting. A dental office Hickory designs bridges for stability and comfort, improving bite alignment and speech. Unlike removable dentures, bridges are fixed, offering a convenient solution. Patients seeking dental care in Hickory NC can rely on skilled professionals to create bridges that blend naturally with their smile. -
The Treatment Process
The process begins with a consultation at a dental office Hickory, where a dentist Hickory assesses the patient’s needs. For crowns, the tooth is prepared and fitted with a custom cap. Bridges involve preparing adjacent teeth to support the replacement tooth. Both procedures may require temporary restorations while permanent ones are crafted. Emergency dental care is available for any discomfort during the process. -
Long-Term Care
Maintaining crowns and bridges involves good oral hygiene and regular visits to a dental office Hickory. A dentist Hickory NC may recommend periodontal care to keep gums healthy around restorations. With proper care, these treatments provide lasting solutions, helping patients enjoy a functional, attractive smile for years.
Emergency Dental Care and Its Importance
-
What Qualifies as a Dental Emergency
Dental emergencies can range from severe toothaches to knocked-out teeth. Immediate care from a dentist Hickory can prevent permanent damage and alleviate pain. Common emergencies include cracked teeth, abscesses, or lost fillings, all of which require prompt attention to avoid complications. -
How Emergency Care Works
In an emergency, dental professionals prioritize quick diagnosis and treatment. For example, a broken tooth may need a crown, while an infection might require a root canal. Emergency care focuses on stabilizing the issue and ensuring patient comfort, with follow-up plans for complete recovery. -
The Role of Restorative Treatments
Many emergencies involve damaged teeth that need restoration. Fillings, crowns, or bridges can repair damage, while dental implants or dentures address tooth loss. These treatments restore both function and appearance, helping patients return to normal life quickly. -
Preventing Future Emergencies
While not all emergencies can be avoided, regular dental visits reduce the risk. Cleanings and exams catch issues early, preventing them from becoming urgent. Patients are also advised on protective measures, like wearing mouthguards during sports, to minimize injury risks. -
Accessing Care When Needed
Having a trusted dental care in Hickory NC provider ensures quick access to emergency services. Knowing where to go during a crisis provides peace of mind and ensures timely treatment, preserving oral health and preventing long-term complications.
Member Spotlight
Valley Hills Dentistry
1624 Tate Blvd SE
Hickory, NC 28602
(828) 267-6800
https://www.valleyhillsdentistry.com/
Get Map Direction: -
https://maps.app.goo.gl/KyFgC4fJ577U4jUM9
At Valley Hills Dentistry, our dentist Hickory provides exceptional dental cleanings to keep your smile healthy and vibrant. Led by Dr. Wesley Shaw, our team uses advanced techniques to remove plaque, polish teeth, and promote gum health. We offer personalized care in a welcoming environment, ensuring every visit supports your oral wellness. Trust us to deliver professional cleanings and guidance for a confident, lasting smile.
Handling Dental Emergencies with Confidence
![]()
What Qualifies as a Dental Emergency?
Dental emergencies, like severe pain, a knocked-out tooth, or a broken crown, require immediate attention. Prompt care can save teeth and prevent complications. A dentist Hickory trained in emergency dental care provides swift, effective solutions to address urgent issues.
Common Dental Emergencies
Emergencies range from toothaches caused by abscesses to cracked teeth from trauma. Loose or lost fillings, crowns, or bridges also demand quick action. A dental office Hickory equipped for emergencies ensures patients receive timely interventions to alleviate pain and restore function.
Steps to Take During an Emergency
For a knocked-out tooth, rinse it gently and try to place it back in the socket, keeping it moist. For severe pain, rinse with warm water and apply a cold compress to reduce swelling. Contacting a professional immediately ensures proper care, especially for dental care in Hickory NC.
The Role of Emergency Dental Care
Emergency dental care focuses on relieving pain and stabilizing conditions. Procedures like root canals or tooth extractions address underlying issues, while temporary crowns or fillings protect damaged teeth. Quick response times are critical to successful outcomes in urgent situations.
Preventing Future Emergencies
While not all emergencies are preventable, regular cleanings and checkups reduce risks. Sealants protect against decay, and periodontal care maintains gum health, minimizing infection chances. Routine visits to a dentist Hickory NC help identify potential issues before they escalate.
Restorative Options Post-Emergency
After stabilizing an emergency, restorative treatments like crowns, bridges, or implants may be needed. These solutions restore function and aesthetics, ensuring long-term oral health. Professionals tailor treatments to individual cases, providing seamless transitions from emergency to recovery.
Managing Pain and Anxiety
Emergencies can be stressful, but modern techniques prioritize patient comfort. Local anesthesia and sedation options ease pain during procedures like extractions or root canals. A compassionate approach from a dental office Hickory helps patients feel at ease during urgent care.
The Importance of Accessibility
Access to emergency care is vital, especially for unexpected issues outside regular hours. Practices offering flexible scheduling ensure patients in Hickory, North Carolina receive prompt attention. This accessibility minimizes complications and supports faster recovery.
Educating Patients on Emergency Preparedness
Understanding how to handle dental emergencies empowers patients. Simple steps, like keeping a dental first-aid kit or knowing when to seek care, make a difference. Professionals often provide guidance during routine visits, enhancing preparedness for unexpected situations.
Building Trust Through Care
Emergency dental care builds trust between patients and providers. Quick, effective interventions demonstrate expertise and compassion, encouraging ongoing care. By addressing urgent needs, dental practices foster confidence in their ability to deliver comprehensive dental care in Hickory NC.
Why Visiting a dental office Hickory Matters for Overall Wellness
-
The Connection Between Oral and General Health
Your mouth is more than just a smile it’s an integral part of overall wellness. A visit to a dental office Hickory not only helps maintain healthy teeth but also supports total body health. Dental professionals emphasize prevention and early detection to keep patients healthy from the inside out. -
Preventing Long-Term Issues
Small dental problems can quickly turn into larger ones if ignored. Regular exams allow dentists to catch concerns early, preventing pain, infection, or tooth loss. Routine cleanings and checkups safeguard both oral tissues and the supporting bone structure that keeps teeth stable. -
Comfortable and Efficient Visits
Modern dental offices are designed with patient comfort in mind. From digital imaging to gentle care techniques, each appointment aims to create a stress-free experience. A calm, welcoming atmosphere encourages patients to prioritize their oral health without anxiety. -
Maintaining a Healthy Lifestyle
Good oral hygiene habits developed with professional guidance can significantly impact diet, digestion, and confidence. Proper care promotes fresher breath, improved function, and a positive self-image that contributes to emotional well-being. -
Commitment to Ongoing Care
A relationship with a trusted dental team ensures continuity of care. By visiting a dental office Hickory, patients receive the ongoing attention they need to prevent disease, protect their smiles, and sustain their overall health for years to come.
Regular dental visits go beyond aesthetics they are vital steps toward achieving long-term wellness and maintaining a healthy, confident smile.
Member Spotlight
Valley Hills Dentistry
1624 Tate Blvd SE
Hickory, NC 28602
(828) 267-6800
https://www.valleyhillsdentistry.com/
Get Map Direction: -
https://maps.app.goo.gl/KyFgC4fJ577U4jUM9
At Valley Hills Dentistry, our dentist Hickory provides exceptional dental cleanings to keep your smile healthy and vibrant. Led by Dr. Wesley Shaw, our team uses advanced techniques to remove plaque, polish teeth, and promote gum health. We offer personalized care in a welcoming environment, ensuring every visit supports your oral wellness. Trust us to deliver professional cleanings and guidance for a confident, lasting smile.
Building Trust Through Family-Oriented Dental Care
Families benefit greatly from having a reliable dentist Hickory NC who provides care for every generation. Family dentistry focuses on creating a comfortable and consistent approach that helps both children and adults maintain good oral health. A single dental provider for the entire family makes scheduling easier and ensures that everyone receives appropriate preventive and restorative care. Visiting a dentist Hickory NC encourages family members to develop healthy dental routines and stay committed to lifelong oral hygiene.
-
Consistency in Care for All Ages
Having one dentist for the whole family allows for better tracking of oral health histories. From a child’s first checkup to adult cleanings, consistency helps detect hereditary or recurring dental concerns early. Regular visits also help children feel comfortable in a familiar environment, reducing dental anxiety over time. -
Preventive Approach to Family Health
Preventive care, including routine exams and cleanings, ensures that teeth and gums stay healthy. Families who attend regular appointments reduce the likelihood of cavities or gum problems. Early detection through these visits saves time and helps avoid more complex treatments later. -
Encouraging Good Oral Hygiene Habits
A family-oriented dental setting promotes education about proper brushing and flossing. Dentists can guide children and parents on how to maintain clean and strong teeth at home. These early lessons help children develop responsible habits that carry into adulthood. -
Creating a Welcoming Environment
A friendly and understanding team makes dental visits pleasant for everyone. A relaxed setting helps children build positive associations with dental care, leading to lifelong comfort with professional visits. The goal is to make every family member feel supported and informed.
Establishing a long-term relationship with a dentist Hickory NC strengthens family oral health and encourages ongoing care for generations to come.
Public Last updated: 2025-11-12 05:40:57 PM
